脛骨プラトー骨折 一般社団法人 日本骨折治療学会 骨折の解説
5256脛骨腓骨骨折手術時に挿入されたプレートとボルトの抜釘について 更新 73歳の女性です。 約二年前に脛骨腓骨を骨折、チタンのプレートを入れる手術をしました。 手術後、医師から抜釘はしない、と告げられたましたが、担当医が若い医師に 骨折日記35:脛骨高原骨折抜釘手術をした! 脛骨高原骨折 脛骨高原骨折 本日朝9時から抜釘手術をおこないました。 手術前から終わるまで ①手術する方の足に「ope」と先生がマジックで記入(前日) ②朝ごはん抜きでスポーツドリンク2本(昨年と同じものでした。 1時間前までに飲む) ③血栓予防の靴下をはく ④手術着に着替え ⑤点滴をいれる 時間となり、ここからは写
脛骨 骨折 手術 痛み
脛骨 骨折 手術 痛み- 骨折日記4:手術 人口骨とチタンプレートの埋込 脛骨高原骨折 バイク, 脛骨高原骨折 5月7日の日曜に入院し、12日金曜に手術となりました。 整形外科の手術が多いらしく、時間は12時から13時くらいの間に開始、前のオペが終わり次第ということ 足首の骨折の症状とは? 歩けるまでに手術やリハビリが必要? 17/8/15 17/8/16 骨・関節・筋肉の不調 スポーツをしている人でなくても、ちょっとした段差でつまずいたり、思わぬ転倒などが原因で、足首や足関節を骨折してしまうことがあります。 捻挫
疑难骨病 泉州常橙医院
回, 脛骨高原骨折に対し観血的治療を行った症 例について, その治療方法と術後成績について 検討したので報告する 対象および方法 対象は脛骨高原骨折に対して観血的治療を施 行した9例9関 節である 受傷時年齢は37~86 歳 (平均565歳) であった 脛骨近位部骨折の治療法 保存療法 :骨折が軽傷であった場合、ギプス固定をする 手術 内固定法:割れた骨や骨のかけらを元の位置に戻し、プレート固定を行う 小侵襲内固定術:割れた骨や骨のかけらを元の位置に戻し、プレートやスクリューを使って固定する リハビリテーション:足の筋力の改善、膝の動きを改善する 骨がくっつくまでに12か月かかる場合が多い 骨が弱かったり 脛骨腓骨骨折プレート固定術をするとおおよその目安の期間は以下になります。 (骨折箇所によって安静期間や固定期間は違いますが、今回の足の手術の場合ということで参考までに) 荷重訓練は6週間後から開始(最初は1/3荷重から) ↓ 全荷重が3ヶ月後 ↓ プレートを抜くのは1年後 しばらくプレートは入ったままの生活になります。 プレートのビスは抜けないのか心配 昔は「ビス
骨折から1年と1か月、とうとうプレートとボルトを抜く抜釘手術を受けてきました。 骨折の経緯は下記 アイスクライミングで右足果部 腓骨・脛骨骨折 復帰までの記録 ①受傷から手術~退院まで ムカデのおにいさんのブログ アイスクライミングで右足果部腓骨・脛骨骨折 復帰までの記録ずれがない骨折であれば、ギプス装着を数週間行うことで治癒することが多いとされています。 手術 骨のずれが大きいなどの場合には、骨の位置を正しい位置に戻す手術が必要です。 足関節の骨折では、骨片の配置を正しく整え、また治癒中に再び骨片がずれることのないよう、観血的整復固定術(ORIF)と呼ばれる手術を行うことがあります。 患部を切開して、折れた骨を適切な位置に戻し 骨折手術の方法 骨折手術には種類が複数あり、状態によって手術法が異なります。 ・ピンニング 折れた骨同士を挿入したピンで固定する方法で、骨が折れたことでずれた場合などに使用されます。 ・スクリュー固定 ネジで骨折部を止める方法で、ピンニングと同じく比較的単純な骨折の場合に使用されます。 ・プレート固定 骨折した部分をスクリューとプレートで固定させる方法です
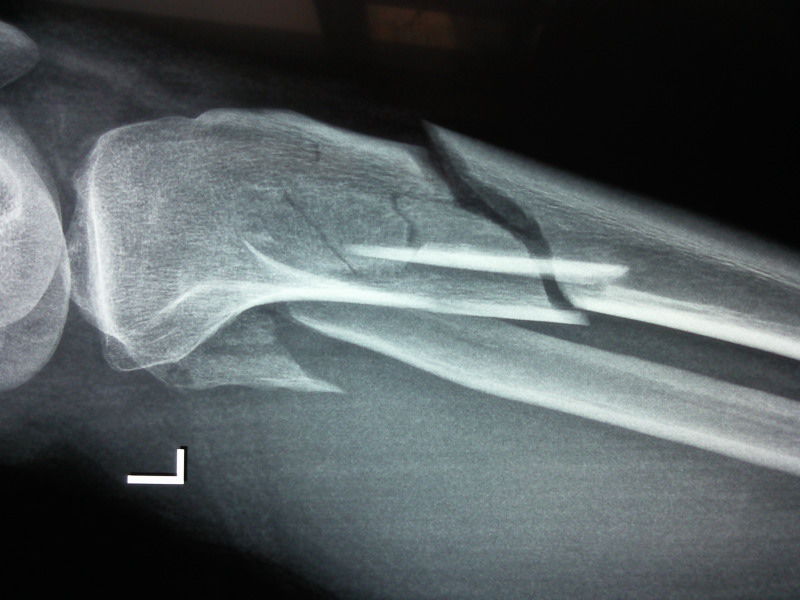
脛骨 骨折 手術 痛みのギャラリー
各画像をクリックすると、ダウンロードまたは拡大表示できます
沭阳交通医院联合专家组完美完成一例股骨远端合并胫骨平台粉碎性骨折手术 雪花新闻 | 沭阳交通医院联合专家组完美完成一例股骨远端合并胫骨平台粉碎性骨折手术 雪花新闻 | 沭阳交通医院联合专家组完美完成一例股骨远端合并胫骨平台粉碎性骨折手术 雪花新闻 |
![]() 沭阳交通医院联合专家组完美完成一例股骨远端合并胫骨平台粉碎性骨折手术 雪花新闻 | ![]() 沭阳交通医院联合专家组完美完成一例股骨远端合并胫骨平台粉碎性骨折手术 雪花新闻 | ![]() 沭阳交通医院联合专家组完美完成一例股骨远端合并胫骨平台粉碎性骨折手术 雪花新闻 |
沭阳交通医院联合专家组完美完成一例股骨远端合并胫骨平台粉碎性骨折手术 雪花新闻 | ![]() 沭阳交通医院联合专家组完美完成一例股骨远端合并胫骨平台粉碎性骨折手术 雪花新闻 | 沭阳交通医院联合专家组完美完成一例股骨远端合并胫骨平台粉碎性骨折手术 雪花新闻 |
![]() 沭阳交通医院联合专家组完美完成一例股骨远端合并胫骨平台粉碎性骨折手术 雪花新闻 | 沭阳交通医院联合专家组完美完成一例股骨远端合并胫骨平台粉碎性骨折手术 雪花新闻 | ![]() 沭阳交通医院联合专家组完美完成一例股骨远端合并胫骨平台粉碎性骨折手术 雪花新闻 |
沭阳交通医院联合专家组完美完成一例股骨远端合并胫骨平台粉碎性骨折手术 雪花新闻 | ![]() 沭阳交通医院联合专家组完美完成一例股骨远端合并胫骨平台粉碎性骨折手术 雪花新闻 | ![]() 沭阳交通医院联合专家组完美完成一例股骨远端合并胫骨平台粉碎性骨折手术 雪花新闻 |
![]() 沭阳交通医院联合专家组完美完成一例股骨远端合并胫骨平台粉碎性骨折手术 雪花新闻 | ![]() 沭阳交通医院联合专家组完美完成一例股骨远端合并胫骨平台粉碎性骨折手术 雪花新闻 | ![]() 沭阳交通医院联合专家组完美完成一例股骨远端合并胫骨平台粉碎性骨折手术 雪花新闻 |
![]() 沭阳交通医院联合专家组完美完成一例股骨远端合并胫骨平台粉碎性骨折手术 雪花新闻 | 沭阳交通医院联合专家组完美完成一例股骨远端合并胫骨平台粉碎性骨折手术 雪花新闻 | 沭阳交通医院联合专家组完美完成一例股骨远端合并胫骨平台粉碎性骨折手术 雪花新闻 |
沭阳交通医院联合专家组完美完成一例股骨远端合并胫骨平台粉碎性骨折手术 雪花新闻 | 沭阳交通医院联合专家组完美完成一例股骨远端合并胫骨平台粉碎性骨折手术 雪花新闻 | 沭阳交通医院联合专家组完美完成一例股骨远端合并胫骨平台粉碎性骨折手术 雪花新闻 |
![]() 沭阳交通医院联合专家组完美完成一例股骨远端合并胫骨平台粉碎性骨折手术 雪花新闻 | 沭阳交通医院联合专家组完美完成一例股骨远端合并胫骨平台粉碎性骨折手术 雪花新闻 | 沭阳交通医院联合专家组完美完成一例股骨远端合并胫骨平台粉碎性骨折手术 雪花新闻 |
沭阳交通医院联合专家组完美完成一例股骨远端合并胫骨平台粉碎性骨折手术 雪花新闻 | ![]() 沭阳交通医院联合专家组完美完成一例股骨远端合并胫骨平台粉碎性骨折手术 雪花新闻 | 沭阳交通医院联合专家组完美完成一例股骨远端合并胫骨平台粉碎性骨折手术 雪花新闻 |
![]() 沭阳交通医院联合专家组完美完成一例股骨远端合并胫骨平台粉碎性骨折手术 雪花新闻 | 沭阳交通医院联合专家组完美完成一例股骨远端合并胫骨平台粉碎性骨折手术 雪花新闻 | 沭阳交通医院联合专家组完美完成一例股骨远端合并胫骨平台粉碎性骨折手术 雪花新闻 |
![]() 沭阳交通医院联合专家组完美完成一例股骨远端合并胫骨平台粉碎性骨折手术 雪花新闻 | 沭阳交通医院联合专家组完美完成一例股骨远端合并胫骨平台粉碎性骨折手术 雪花新闻 | 沭阳交通医院联合专家组完美完成一例股骨远端合并胫骨平台粉碎性骨折手术 雪花新闻 |
![]() 沭阳交通医院联合专家组完美完成一例股骨远端合并胫骨平台粉碎性骨折手术 雪花新闻 | ![]() 沭阳交通医院联合专家组完美完成一例股骨远端合并胫骨平台粉碎性骨折手术 雪花新闻 | 沭阳交通医院联合专家组完美完成一例股骨远端合并胫骨平台粉碎性骨折手术 雪花新闻 |
沭阳交通医院联合专家组完美完成一例股骨远端合并胫骨平台粉碎性骨折手术 雪花新闻 | ![]() 沭阳交通医院联合专家组完美完成一例股骨远端合并胫骨平台粉碎性骨折手术 雪花新闻 | 沭阳交通医院联合专家组完美完成一例股骨远端合并胫骨平台粉碎性骨折手术 雪花新闻 |
沭阳交通医院联合专家组完美完成一例股骨远端合并胫骨平台粉碎性骨折手术 雪花新闻 | ![]() 沭阳交通医院联合专家组完美完成一例股骨远端合并胫骨平台粉碎性骨折手术 雪花新闻 | 沭阳交通医院联合专家组完美完成一例股骨远端合并胫骨平台粉碎性骨折手术 雪花新闻 |
![]() 沭阳交通医院联合专家组完美完成一例股骨远端合并胫骨平台粉碎性骨折手术 雪花新闻 | ![]() 沭阳交通医院联合专家组完美完成一例股骨远端合并胫骨平台粉碎性骨折手术 雪花新闻 | 沭阳交通医院联合专家组完美完成一例股骨远端合并胫骨平台粉碎性骨折手术 雪花新闻 |
![]() 沭阳交通医院联合专家组完美完成一例股骨远端合并胫骨平台粉碎性骨折手术 雪花新闻 | 沭阳交通医院联合专家组完美完成一例股骨远端合并胫骨平台粉碎性骨折手术 雪花新闻 | 沭阳交通医院联合专家组完美完成一例股骨远端合并胫骨平台粉碎性骨折手术 雪花新闻 |
沭阳交通医院联合专家组完美完成一例股骨远端合并胫骨平台粉碎性骨折手术 雪花新闻 | 沭阳交通医院联合专家组完美完成一例股骨远端合并胫骨平台粉碎性骨折手术 雪花新闻 | 沭阳交通医院联合专家组完美完成一例股骨远端合并胫骨平台粉碎性骨折手术 雪花新闻 |
![]() 沭阳交通医院联合专家组完美完成一例股骨远端合并胫骨平台粉碎性骨折手术 雪花新闻 | 沭阳交通医院联合专家组完美完成一例股骨远端合并胫骨平台粉碎性骨折手术 雪花新闻 | ![]() 沭阳交通医院联合专家组完美完成一例股骨远端合并胫骨平台粉碎性骨折手术 雪花新闻 |
沭阳交通医院联合专家组完美完成一例股骨远端合并胫骨平台粉碎性骨折手术 雪花新闻 | ![]() 沭阳交通医院联合专家组完美完成一例股骨远端合并胫骨平台粉碎性骨折手术 雪花新闻 | ![]() 沭阳交通医院联合专家组完美完成一例股骨远端合并胫骨平台粉碎性骨折手术 雪花新闻 |
沭阳交通医院联合专家组完美完成一例股骨远端合并胫骨平台粉碎性骨折手术 雪花新闻 | 沭阳交通医院联合专家组完美完成一例股骨远端合并胫骨平台粉碎性骨折手术 雪花新闻 | ![]() 沭阳交通医院联合专家组完美完成一例股骨远端合并胫骨平台粉碎性骨折手术 雪花新闻 |
![]() 沭阳交通医院联合专家组完美完成一例股骨远端合并胫骨平台粉碎性骨折手术 雪花新闻 | ![]() 沭阳交通医院联合专家组完美完成一例股骨远端合并胫骨平台粉碎性骨折手术 雪花新闻 | ![]() 沭阳交通医院联合专家组完美完成一例股骨远端合并胫骨平台粉碎性骨折手术 雪花新闻 |
沭阳交通医院联合专家组完美完成一例股骨远端合并胫骨平台粉碎性骨折手术 雪花新闻 | ![]() 沭阳交通医院联合专家组完美完成一例股骨远端合并胫骨平台粉碎性骨折手术 雪花新闻 | 沭阳交通医院联合专家组完美完成一例股骨远端合并胫骨平台粉碎性骨折手术 雪花新闻 |
沭阳交通医院联合专家组完美完成一例股骨远端合并胫骨平台粉碎性骨折手术 雪花新闻 | ![]() 沭阳交通医院联合专家组完美完成一例股骨远端合并胫骨平台粉碎性骨折手术 雪花新闻 | ![]() 沭阳交通医院联合专家组完美完成一例股骨远端合并胫骨平台粉碎性骨折手术 雪花新闻 |
![]() 沭阳交通医院联合专家组完美完成一例股骨远端合并胫骨平台粉碎性骨折手术 雪花新闻 | ![]() 沭阳交通医院联合专家组完美完成一例股骨远端合并胫骨平台粉碎性骨折手术 雪花新闻 | ![]() 沭阳交通医院联合专家组完美完成一例股骨远端合并胫骨平台粉碎性骨折手术 雪花新闻 |
![]() 沭阳交通医院联合专家组完美完成一例股骨远端合并胫骨平台粉碎性骨折手术 雪花新闻 | ![]() 沭阳交通医院联合专家组完美完成一例股骨远端合并胫骨平台粉碎性骨折手术 雪花新闻 | 沭阳交通医院联合专家组完美完成一例股骨远端合并胫骨平台粉碎性骨折手术 雪花新闻 |
![]() 沭阳交通医院联合专家组完美完成一例股骨远端合并胫骨平台粉碎性骨折手术 雪花新闻 | ![]() 沭阳交通医院联合专家组完美完成一例股骨远端合并胫骨平台粉碎性骨折手术 雪花新闻 | ![]() 沭阳交通医院联合专家组完美完成一例股骨远端合并胫骨平台粉碎性骨折手术 雪花新闻 |
![]() 沭阳交通医院联合专家组完美完成一例股骨远端合并胫骨平台粉碎性骨折手术 雪花新闻 | ![]() 沭阳交通医院联合专家组完美完成一例股骨远端合并胫骨平台粉碎性骨折手术 雪花新闻 | 沭阳交通医院联合专家组完美完成一例股骨远端合并胫骨平台粉碎性骨折手术 雪花新闻 |
沭阳交通医院联合专家组完美完成一例股骨远端合并胫骨平台粉碎性骨折手术 雪花新闻 | 沭阳交通医院联合专家组完美完成一例股骨远端合并胫骨平台粉碎性骨折手术 雪花新闻 | 沭阳交通医院联合专家组完美完成一例股骨远端合并胫骨平台粉碎性骨折手术 雪花新闻 |
沭阳交通医院联合专家组完美完成一例股骨远端合并胫骨平台粉碎性骨折手术 雪花新闻 | ![]() 沭阳交通医院联合专家组完美完成一例股骨远端合并胫骨平台粉碎性骨折手术 雪花新闻 | 沭阳交通医院联合专家组完美完成一例股骨远端合并胫骨平台粉碎性骨折手术 雪花新闻 |
沭阳交通医院联合专家组完美完成一例股骨远端合并胫骨平台粉碎性骨折手术 雪花新闻 | 沭阳交通医院联合专家组完美完成一例股骨远端合并胫骨平台粉碎性骨折手术 雪花新闻 | 沭阳交通医院联合专家组完美完成一例股骨远端合并胫骨平台粉碎性骨折手术 雪花新闻 |
沭阳交通医院联合专家组完美完成一例股骨远端合并胫骨平台粉碎性骨折手术 雪花新闻 | 沭阳交通医院联合专家组完美完成一例股骨远端合并胫骨平台粉碎性骨折手术 雪花新闻 | ![]() 沭阳交通医院联合专家组完美完成一例股骨远端合并胫骨平台粉碎性骨折手术 雪花新闻 |
![]() 沭阳交通医院联合专家组完美完成一例股骨远端合并胫骨平台粉碎性骨折手术 雪花新闻 | ![]() 沭阳交通医院联合专家组完美完成一例股骨远端合并胫骨平台粉碎性骨折手术 雪花新闻 | 沭阳交通医院联合专家组完美完成一例股骨远端合并胫骨平台粉碎性骨折手术 雪花新闻 |
![]() 沭阳交通医院联合专家组完美完成一例股骨远端合并胫骨平台粉碎性骨折手术 雪花新闻 | ![]() 沭阳交通医院联合专家组完美完成一例股骨远端合并胫骨平台粉碎性骨折手术 雪花新闻 | 沭阳交通医院联合专家组完美完成一例股骨远端合并胫骨平台粉碎性骨折手术 雪花新闻 |
沭阳交通医院联合专家组完美完成一例股骨远端合并胫骨平台粉碎性骨折手术 雪花新闻 | 沭阳交通医院联合专家组完美完成一例股骨远端合并胫骨平台粉碎性骨折手术 雪花新闻 |
脛骨天蓋骨折 足関節の機能障害を防ぐためにも正確な整復が必要となります。 このため、偏位がまったくない軽微な骨折であればギプス固定などの保存的治療を行いますが、多くはネジやプレートを使用して偏位部を整復し固定する手術が必要となります。 また、粉砕が激しく、正確に整復できない場合には、欠損部分に自分の腸骨の一部や人工骨を移植することもあります。 強固に脛骨骨折高原骨折の場合、 手術療法 が適応となるのは、 以下のような場合であると言われています。 ・転位型である ・脛骨関節面が5mm以上の陥没している 加えて、年齢や生活スタイル、体力や既往歴などから総合的に判断して、 手術療法の適応となります。 代表的な手術療法の方法としては、 ・Bookopen法(関節切開法) ・関節鏡視下法 があります。 Bookopen法(関節切開法) Book
Incoming Term: 脛骨 骨折 手術, 脛骨骨折手術後 痛み, 脛骨 骨折 手術 費用, 脛骨 骨折 手術 ブログ, 脛骨 骨折 手術 痛み, 脛骨 腓骨 骨折 手術,




















































0 件のコメント:
コメントを投稿